Lompat ke konten Lompat ke sidebar Lompat ke footer

Cold Agglutinin Disease Mayo

Pdf Cold Agglutinin Disease

Pdf Cold Agglutinin Disease

Cold agglutinin disease mayo. Symptoms of cold agglutinin disease CAD can be triggered or worsened by cold temperatures or viral infections and most people with cold agglutinin disease have symptoms of hemolytic anemia such as fatigue dizziness headaches cold hands and feet pale skin dark urine yellowing skin and eyes jaundice chest pain back pain leg pain vomiting diarrhea and heart problems. The purpose of this study is to assess antibody activity IN vitro in cold agglutinin disease CAD patients. With CAD red blood cells clump together in blood vessels and.

Learn about Jodies diagnosis how CAD affected her career and. Cold agglutinin disease CAD is a condition that makes your bodys immune system attack your red blood cells and destroy them. Patients with CA but without evidence of cold hemagglutinin disease can safely undergo normothermic cardiopulmonary bypass at 37C and warm cardioplegia without further testing.

Cold agglutinin disease may be rare but there are others out there who are finding ways to manage life with the disease. Cold agglutinin disease is a rare and poorly understood disorder affecting 15 of patients with autoimmune hemolytic anemia. When affected peoples blood is exposed to cold temperatures 32º to 50º F certain proteins that normally attack bacteria IgM antibodies attach themselves to red blood cells and bind.

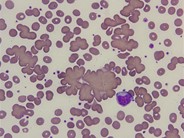
Cold agglutinin disease is a rare type of autoimmune hemolytic anemia in which the bodys immune system mistakenly attacks and destroys its own red blood cells. The IgM protein fixes complement to the red cell surface. Cold agglutinin disease is a form of direct extravascular antiglobulin-positive hemolysis.

All patients with CAcold hemagglutinin disease at the Mayo Clinic College of Medicine safely underwent cardiac surgery without major adverse morbidity or mortality. Cold Agglutinin Titer Serum. Its triggered by cold temperatures and it can cause problems that.

Cold agglutinin disease is a rare and poorly understood disorder affecting 15 of patients with autoimmune hemolytic anemia. Patients with CA but without evidence of cold hemagglutinin disease can safely undergo normothermic cardiopulmonary bypass at 37C and warm cardioplegia without further testing. The pathophysiology is an IgM protein which can be monoclonal cold agglutinin disease or polyclonal usually post-infectious.

Jodie a mother of two learned that she had CAD while she was serving in the military. In vivo immunoglobulin Ig M fixes complement molecules to the red cell membrane.

Cold Agglutinin Disease Practice Essentials Pathophysiology Etiology

Cold Agglutinin Disease Practice Essentials Pathophysiology Etiology

Cold Agglutinin Disease Ask Hematologist Understand Hematology

Cold Agglutinin Disease Ask Hematologist Understand Hematology

Pdf Hyperviscosity Syndrome Cold Agglutinin Hemolytic Anemia And Cryoglobulinemia

Pdf Hyperviscosity Syndrome Cold Agglutinin Hemolytic Anemia And Cryoglobulinemia

Cold Agglutinin Disease Uptodate

Cold Agglutinin Disease Uptodate

Cold Agglutinin Disease Cad

Cold Agglutinin Disease Cad

Cold Agglutinin Disease Associated Digital Gangrene Treated With Plasmapheresis Semantic Scholar

Cold Agglutinin Disease Associated Digital Gangrene Treated With Plasmapheresis Semantic Scholar

Cold Agglutinin Disease 1

Cold Agglutinin Disease 1

Cold Agglutinin Disease Uptodate

Cold Agglutinin Disease Uptodate

Cold Agglutinin Disease Causes Symptoms Signs And Treatment

Cold Agglutinin Disease Causes Symptoms Signs And Treatment

Cold Agglutinins In Patients Undergoing Cardiac Surgery Requiring Cardiopulmonary Bypass The Journal Of Thoracic And Cardiovascular Surgery

Cold Agglutinins In Patients Undergoing Cardiac Surgery Requiring Cardiopulmonary Bypass The Journal Of Thoracic And Cardiovascular Surgery

Cold Agglutinin Disease

Cold Agglutinin Disease

Blood Clotting At Room Temperature In Cold Agglutinin Disease

Blood Clotting At Room Temperature In Cold Agglutinin Disease

Mechanism Of Cold Agglutinin Disease Cad In The Complement Pathway

Mechanism Of Cold Agglutinin Disease Cad In The Complement Pathway

Rare Disease Real Threat Tackling Cold Agglutinin Disease Sanofi

Rare Disease Real Threat Tackling Cold Agglutinin Disease Sanofi

Glycosylation Of Immunoglobulin Light Chains Is Highly Prevalent In Cold Agglutinin Disease Sidana 2020 American Journal Of Hematology Wiley Online Library

Glycosylation Of Immunoglobulin Light Chains Is Highly Prevalent In Cold Agglutinin Disease Sidana 2020 American Journal Of Hematology Wiley Online Library

Rituximab For The Treatment Of Autoimmune Cytopenias Haematologica

Rituximab For The Treatment Of Autoimmune Cytopenias Haematologica

Pdf Rituximab For The Treatment Of Autoimmune Cytopenias

Pdf Rituximab For The Treatment Of Autoimmune Cytopenias

New York Cold Snap Causes Woman To Develop Purple Marbled Rash Across Entire Body

New York Cold Snap Causes Woman To Develop Purple Marbled Rash Across Entire Body

Successful Treatment Of Igm Monoclonal Gammopathy Of Undetermined Significance Associated With Cryoglobulinemia And Cold Agglutinin Disease With Immunochemotherapy With Rituximab Fludarabine And Cyclophosphamide Springerlink

Successful Treatment Of Igm Monoclonal Gammopathy Of Undetermined Significance Associated With Cryoglobulinemia And Cold Agglutinin Disease With Immunochemotherapy With Rituximab Fludarabine And Cyclophosphamide Springerlink

Cold Agglutinin Disease Cad Youtube

Cold Agglutinin Disease Cad Youtube

Cold Agglutinin Disease Handling Of Samples Download Scientific Diagram

Cold Agglutinin Disease Handling Of Samples Download Scientific Diagram

Autoimmune Hemolytic Anemia Hematology And Oncology Merck Manuals Professional Edition

Autoimmune Hemolytic Anemia Hematology And Oncology Merck Manuals Professional Edition

Cold Agglutinin Disease Complicated By Acrocyanosis And Necrosis Semantic Scholar

Cold Agglutinin Disease Complicated By Acrocyanosis And Necrosis Semantic Scholar

1

1

Pdf Development Of Multiple Myeloma Of The Iga Type In A Patient With Cold Agglutinin Disease Transformation Or Coincidence

Pdf Development Of Multiple Myeloma Of The Iga Type In A Patient With Cold Agglutinin Disease Transformation Or Coincidence

Xxxx Lymphoma Medical Diagnosis

Xxxx Lymphoma Medical Diagnosis

Cold Agglutinin Disease Treatment Medicine Transfusions And More

Cold Agglutinin Disease Treatment Medicine Transfusions And More

Hyperviscosity Syndrome Cold Agglutinin Hemolytic Anemia And Cryoglobulinemia Springerlink

Hyperviscosity Syndrome Cold Agglutinin Hemolytic Anemia And Cryoglobulinemia Springerlink

Occurrence Thromboembolic Risk And Mortality In Danish Patients With Cold Agglutinin Disease Sciencedirect

Occurrence Thromboembolic Risk And Mortality In Danish Patients With Cold Agglutinin Disease Sciencedirect

Chlorambucil Treatment Of Patients With Cold Agglutinin Syndrome Sciencedirect

Chlorambucil Treatment Of Patients With Cold Agglutinin Syndrome Sciencedirect

Cold Agglutinin Disease Uptodate

Cold Agglutinin Disease Uptodate

Occurrence Thromboembolic Risk And Mortality In Danish Patients With Cold Agglutinin Disease Abstract Europe Pmc

Occurrence Thromboembolic Risk And Mortality In Danish Patients With Cold Agglutinin Disease Abstract Europe Pmc

Red Blood Cell Disorders Perioperative Considerations For Patients Undergoing Cardiac Surgery Journal Of Cardiothoracic And Vascular Anesthesia

Red Blood Cell Disorders Perioperative Considerations For Patients Undergoing Cardiac Surgery Journal Of Cardiothoracic And Vascular Anesthesia

Cold Agglutinin Disease Cad Youtube

Cold Agglutinin Disease Cad Youtube

Apellis Apl 2 Receives Fda S Orphan Drug Designation For Aiha

Apellis Apl 2 Receives Fda S Orphan Drug Designation For Aiha

Pdf Hyperviscosity Syndrome Cold Agglutinin Hemolytic Anemia And Cryoglobulinemia

Pdf Hyperviscosity Syndrome Cold Agglutinin Hemolytic Anemia And Cryoglobulinemia

Cold Agglutinin Disease Wikidoc

Cold Agglutinin Disease Wikidoc

2

2

Cold Agglutinin Disease 2

Cold Agglutinin Disease 2

2

2

Cold Agglutinin Screen Vs Cold Agglutinin Titer Ppt Download

Cold Agglutinin Screen Vs Cold Agglutinin Titer Ppt Download

Cold Agglutinin Disease Symptoms Diagnosis Treatment

Cold Agglutinin Disease Symptoms Diagnosis Treatment

Pdf Cold Agglutinin Disease

Pdf Cold Agglutinin Disease

Dokument Pub

Dokument Pub

Potential Treatment On The Horizon For Cold Agglutinin Disease Mdedge Hematology And Oncology

Potential Treatment On The Horizon For Cold Agglutinin Disease Mdedge Hematology And Oncology

Cold Agglutinin Disease Causes Symptoms Treatment Risk Prognosis

Cold Agglutinin Disease Causes Symptoms Treatment Risk Prognosis

Homo Sapiens Diseases Immunity

Homo Sapiens Diseases Immunity

Https Encrypted Tbn0 Gstatic Com Images Q Tbn And9gcrs Sw1vkuoxnenew3fcaecducjt2myps1v Hb Actvhjc9y0yt Usqp Cau

Https Encrypted Tbn0 Gstatic Com Images Q Tbn And9gcrs Sw1vkuoxnenew3fcaecducjt2myps1v Hb Actvhjc9y0yt Usqp Cau

The authors of the Mayo study noted that patients with cold hemagglutinin disease should undergo laboratory testing including cold agglutinin titers and thermal amplitude and hematology consultation before cardiac surgery is begun.

With CAD red blood cells clump together in blood vessels and. The pathophysiology is an IgM protein which can be monoclonal cold agglutinin disease or polyclonal usually post-infectious. In vivo immunoglobulin Ig M fixes complement molecules to the red cell membrane. We reviewed the clinical and pathologic features prognosis and management in the literature and describe our institutional experience to improve strategies for accurate diagnosis and treatment. Patients with CA but without evidence of cold hemagglutinin disease can safely undergo normothermic cardiopulmonary bypass at 37C and warm cardioplegia without further testing. The authors of the Mayo study noted that patients with cold hemagglutinin disease should undergo laboratory testing including cold agglutinin. Cold agglutinin disease is a form of direct extravascular antiglobulin-positive hemolysis. Participant eligibility includes age gender type and stage of disease and previous treatments or health concerns. Cold agglutinin disease is a rare and poorly understood disorder affecting 15 of patients with autoimmune hemolytic anemia.


Patients with CA but without evidence of cold hemagglutinin disease can safely undergo normothermic cardiopulmonary bypass at 37C and warm cardioplegia without further testing. Cold agglutinin disease CAD is a rare type of anemia a condition that happens when your body doesnt have enough red blood cells. Successive passages through the mononuclear phagocyte system result in loss of red cell membrane. All patients with CAcold hemagglutinin disease at the Mayo Clinic College of Medicine safely underwent cardiac surgery without major adverse morbidity or mortality. With CAD red blood cells clump together in blood vessels and. Cold agglutinin disease may be rare but there are others out there who are finding ways to manage life with the disease. Guidelines differ from study to study and identify who can or cannot participate.

Posting Komentar untuk "Cold Agglutinin Disease Mayo"